CAD CAM症例
CAD CAMで治療しました。(セレック)
削ってセットまで60分です。
その日に完成です。
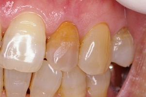
向かって右上の歯です。
神経が死んでしまって変色してしまいました。![]()
(治療前)
薄く削った所にセラミックをぺたっと接着します。
(治療後)
ほとんど歯を削らずにできます。
自然な仕上がりでしょ![]()
カテゴリー:串田 投稿日:2012年2月20日
CAD CAMで治療しました。(セレック)
削ってセットまで60分です。
その日に完成です。
向かって右上の歯です。
神経が死んでしまって変色してしまいました。![]()
(治療前)
薄く削った所にセラミックをぺたっと接着します。
(治療後)
ほとんど歯を削らずにできます。
自然な仕上がりでしょ![]()
カテゴリー:串田 投稿日:2012年2月20日